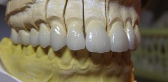
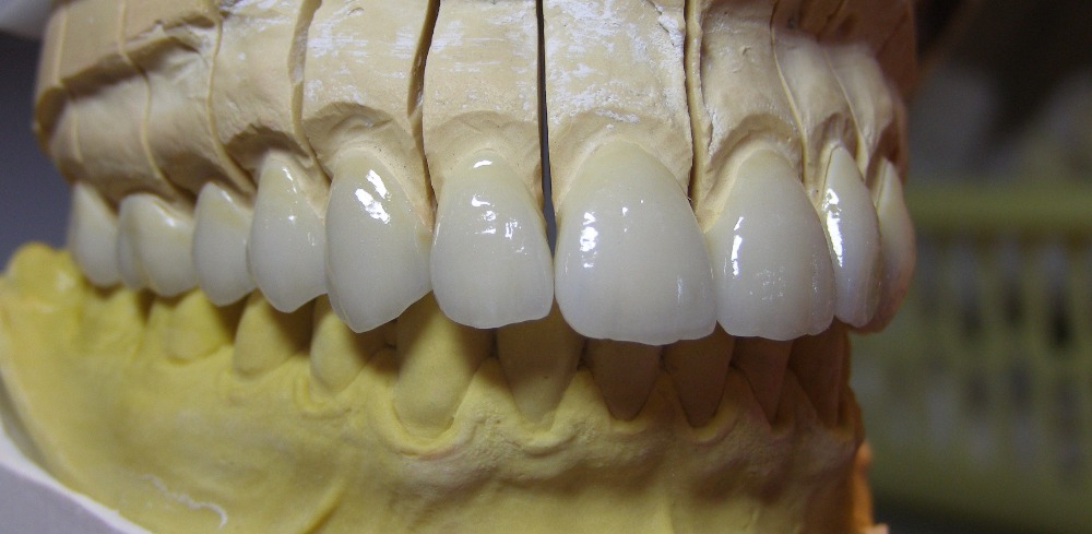
Zirconium-oxide (zircon or zircon-oxide) is a high performance, top quality alloy, which is used for space flight among others.
It has white colour and high hardness. Negative reaction is excluded even in the case of patients with allergy or in bad health condition.
Zircon-oxide does not conduct electricity, i.e. you do not feel a metallic taste in your mouth, there is no galvanization, metals do not dissolve in saliva, and metal does not become activated.
Zirconia provides optimal protection against the unpleasant sensitivity to coldness and heat.
As it is metal-free, possible corrosion is excluded.
Our laboratory exclusively uses AMANN GIRRBACH zirconia block in manufacturing.



