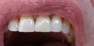
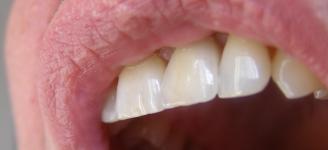
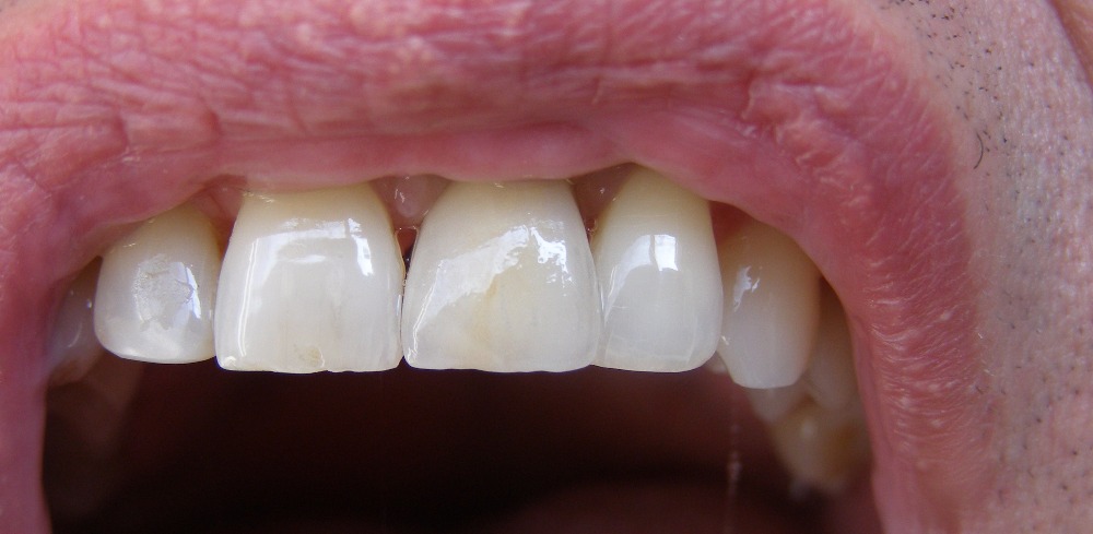
Regarding implant work Fresh-Dental laboratory has a high position in the region, and we have the most systems that are in use.
Supra-constructions show a great variety, ranging from fixing elements integrated in the denture, through transocclusal and transversal screw fixation, to cemented fixed ceramic restorations.
Our laboratory undertakes to manufacture individual heads for all implant types, even in an inclined angle, within 48 hours.



