> Products
Zirconia
Implants
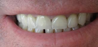
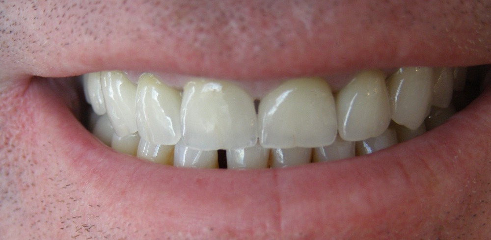
Metal ceramics
Pressed ceramics
Gradia

Cast materials may range from nickel-free metals to completely biocompatible gold alloys, depending on the clients demands.

 

Our laboratory exclusively works with porcelain materials of low melting point and feldspar base materials, for which Ivoclar ceramic furnaces are used.

Metal ceramics
femkeramia1.jpg
femkeramia2.jpg
femkeramia3.jpg
femkeramia4.jpg